Festsitzende Apparaturen

Für schnelle Erfolge

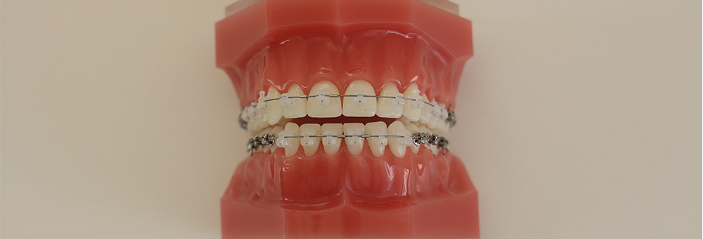
Sollen viele Zähne zur gleichen Zeit bewegt werden, setzen wir meistens festsitzende Zahnspangen ein. Sie behindern kaum beim Sprechen, bewegen die Zähne rund um die Uhr und führen schnell zum Behandlungsziel. Für die Brackets – das sind die Befestigungselemente der Spangen – werden verschiedene Materialien verwendet, die unterschiedliche Vorteile haben. Alle festsitzenden Apparaturen funktionieren über Drahtbögen. Diese sind anfangs hoch elastisch und dünn. Nach und nach tauschen wir den Draht durch immer stabilere Drähte aus, um die Zähne allmählich in die gewünschte bestmögliche Position zu bringen.

Wir setzen Metall-Brackets, Keramik-Brackets, selbstligierende Brackets und Lingualtechnik ein.

Metall-Brackets sind besonders robust und haben sich seit Jahrzehnten bewährt. Wir verwenden kleine, nickelfreie Metallplättchen, die wir auf die Zähne kleben und über einen Draht miteinander verbinden.

Keramische Brackets sind Zahnfarben und unterscheiden sich wenig von echten  Zähnen. So fallen sie beim sprechen oder lachen kaum auf. Sie sind sehr gut verträglich und halten lange.

Selbstligierende Brackets sind die derzeit modernste Methode festsitzender Spangensysteme. Ihre Oberfläche ist besonders glatt und sie unterstützen aufgrund cleverer Verschlüsse ein zügiges Einsetzen der Metalldrähte. Sie  bewegen sie die Zähne mit weniger Reibung, sie sind angenehm zu tragen und sehr hygienisch.

Bei der Lingualtechnik sitzen die Brackets auf der Zahninnenseite und sind somit nicht sichtbar. Alle Brackets sind maßgeschneidert und passen sich der Oberfläche jedes einzelnen Zahnes an. Speziell geformte Bögen verknüpfen die Brackets miteinander und sorgen aufgrund ihrer Biegungen für eine zuverlässige Korrektur der Zahnfehlstellung. Behandlungsfortschritte sind von Beginn an deutlich zu erkennen, da weder Brackets noch Draht die Sicht auf die Zähne einschränken.